Esophageal Stent

  • javascript photo gallery
  • esophageal-stent2

Introduction

Proximal flare to decrease the foreign body sensation and to prevent migration of the stent for cervical esophageal cancer stenting

Indications for use (Intended use)

The Covered Esophagus Stent is used for application in palliative treatment of esophageal stricture and/or trachea-esophageal fistula caused by malignant tumors.

Product Overview

Flare shape in proxim, Dumbbell shape in distal, Lassos, Gold Marker
Flare shape in proxim Dumbbell shape in distal Lassos Gold Marker
To reduce foreign body sensation at sphincter Large diameter of distal end minimizes chance of migration Repositioning and/or retrieval Fluoroscopy visualization
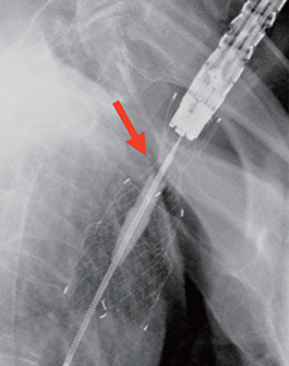
(A) The lesion was located 16cm from the incisors, 1cm below the upper esophageal sphincter (B) Post-stenting radio-graph, showing well positioned cervical stent

Resources

ORDERING INFO.

*Increment of 10mm
Stent(mm), Delivery Device
Stent(mm) Delivery Device
Diameter Usable Length* Total Length Length(mm) Diameter(mm/fr)
NESC-18-060-070 24-18-24 32 60 700 6/18
NESC-18-170-070 142 170 700 6/18

RESOURCES

CS Shim, el at. Esophageal Stent for Cervical Esophagus and Esophagogastric Junction, Clin Endosc 2012;45:235-239

Ying-Chieh Su a, Yao Fong, Management of a cervical tracheoesophageal fistula with a modified self-expanding metal stent: Report of a case, Formosan Journal of Surgery (2011) 44, 196e198

Shim CS, el at. Esophageal Stenting in Unusual Situations · Endoscopy 2003; 35: 14–18

※Sizing and availability varies by country

All medical devices have associated risks. Please refer to the package insert and other labeling for a complete list of indications, contraindications, precautions and warnings. For further information on the Products, please contact your local M.I.Tech(Hanarostent) Representative.